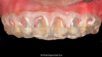
Gingival reduction design guide in Exocad 3.1 for crown lengthening

Tonton & Download Video Musik Gratis

⬇ DOWNLOAD NOW
Kalau muncul iklan pop-up, tutup lalu klik tombol kembali

Download lagu Gingival reduction design guide in Exocad 3.1 for crown lengthening secara gratis hanya untuk keperluan promosi. Dukung artis favorit kamu dengan membeli musik original di iTunes atau platform resmi lainnya.