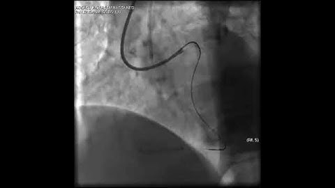
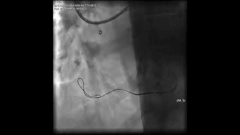
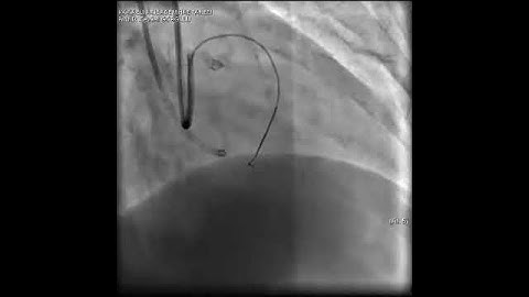
Aortic dissection and radial rupture during retrograde CTO PCI: Management of complications VİDEO 22

Tonton & Download Video Musik Gratis

⬇ DOWNLOAD NOW
Kalau muncul iklan pop-up, tutup lalu klik tombol kembali

Download lagu Aortic dissection and radial rupture during retrograde CTO PCI: Management of complications VİDEO 22 secara gratis hanya untuk keperluan promosi. Dukung artis favorit kamu dengan membeli musik original di iTunes atau platform resmi lainnya.