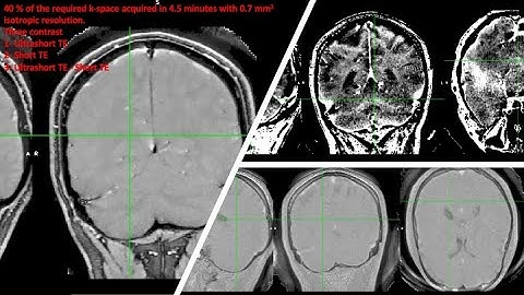
Quantitative Susceptibility Mapping (QSM) High-resolution UTE MRI with Rosette k-space Pattern ISMRM

Tonton & Download Video Musik Gratis

⬇ DOWNLOAD NOW
Kalau muncul iklan pop-up, tutup lalu klik tombol kembali

Download lagu Quantitative Susceptibility Mapping (QSM) High-resolution UTE MRI with Rosette k-space Pattern ISMRM secara gratis hanya untuk keperluan promosi. Dukung artis favorit kamu dengan membeli musik original di iTunes atau platform resmi lainnya.