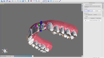
AI Powered Automatic Aligner Button Placement Now Available in BlueSkyPlan

Tonton & Download Video Musik Gratis

⬇ DOWNLOAD NOW
Kalau muncul iklan pop-up, tutup lalu klik tombol kembali

Download lagu AI Powered Automatic Aligner Button Placement Now Available in BlueSkyPlan secara gratis hanya untuk keperluan promosi. Dukung artis favorit kamu dengan membeli musik original di iTunes atau platform resmi lainnya.