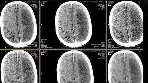
Dr. K. Clough at ECR 2016 - "How we Use Iterative Reconstruction in Daily Routine"

Tonton & Download Video Musik Gratis

⬇ DOWNLOAD NOW
Kalau muncul iklan pop-up, tutup lalu klik tombol kembali

Download lagu Dr. K. Clough at ECR 2016 - "How we Use Iterative Reconstruction in Daily Routine" secara gratis hanya untuk keperluan promosi. Dukung artis favorit kamu dengan membeli musik original di iTunes atau platform resmi lainnya.