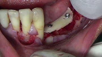
Horizontal Alveolar Ridge Augmentation with Botiss Allogenic Bone Blocks - Khoury Shell Technique

Tonton & Download Video Musik Gratis

⬇ DOWNLOAD NOW
Kalau muncul iklan pop-up, tutup lalu klik tombol kembali

Download lagu Horizontal Alveolar Ridge Augmentation with Botiss Allogenic Bone Blocks - Khoury Shell Technique secara gratis hanya untuk keperluan promosi. Dukung artis favorit kamu dengan membeli musik original di iTunes atau platform resmi lainnya.