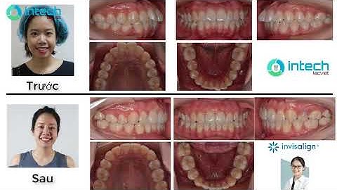
Khắc Phục Tình Trạng Hô, Hở Kẻ Giữa 2 Răng Cửa Với Niềng Trong Suốt

Tonton & Download Video Musik Gratis

⬇ DOWNLOAD NOW
Kalau muncul iklan pop-up, tutup lalu klik tombol kembali

Download lagu Khắc Phục Tình Trạng Hô, Hở Kẻ Giữa 2 Răng Cửa Với Niềng Trong Suốt secara gratis hanya untuk keperluan promosi. Dukung artis favorit kamu dengan membeli musik original di iTunes atau platform resmi lainnya.