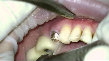
CUSTOM MADE CAST POST TRY IN AND CEMENTATION

Tonton & Download Video Musik Gratis

⬇ DOWNLOAD NOW
Kalau muncul iklan pop-up, tutup lalu klik tombol kembali

Download lagu CUSTOM MADE CAST POST TRY IN AND CEMENTATION secara gratis hanya untuk keperluan promosi. Dukung artis favorit kamu dengan membeli musik original di iTunes atau platform resmi lainnya.