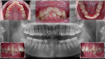
Solving Full cusp Class II with 12mm OJ|【Chris Chang Ortho】CC742

Tonton & Download Video Musik Gratis

⬇ DOWNLOAD NOW
Kalau muncul iklan pop-up, tutup lalu klik tombol kembali

Download lagu Solving Full cusp Class II with 12mm OJ|【Chris Chang Ortho】CC742 secara gratis hanya untuk keperluan promosi. Dukung artis favorit kamu dengan membeli musik original di iTunes atau platform resmi lainnya.