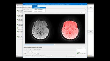
Quick 3D manual segmentation of a brain tumor from T2 FLAIR image on DSI Studio

Tonton & Download Video Musik Gratis

⬇ DOWNLOAD NOW
Kalau muncul iklan pop-up, tutup lalu klik tombol kembali

Download lagu Quick 3D manual segmentation of a brain tumor from T2 FLAIR image on DSI Studio secara gratis hanya untuk keperluan promosi. Dukung artis favorit kamu dengan membeli musik original di iTunes atau platform resmi lainnya.