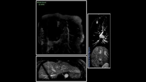
Liver Specific agent (Primovist) vs Extracellular agent @ Siemens 1.5T Aera

Tonton & Download Video Musik Gratis

⬇ DOWNLOAD NOW
Kalau muncul iklan pop-up, tutup lalu klik tombol kembali

Download lagu Liver Specific agent (Primovist) vs Extracellular agent @ Siemens 1.5T Aera secara gratis hanya untuk keperluan promosi. Dukung artis favorit kamu dengan membeli musik original di iTunes atau platform resmi lainnya.