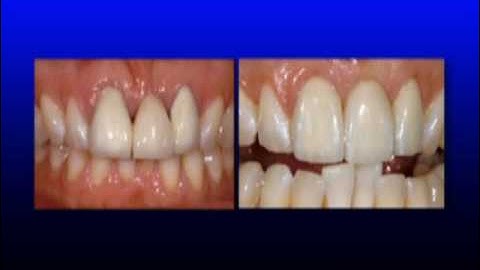
Ovate Pontics for Bridges - The Complete Guide with Dr Jason Smithson - PDP158

Tonton & Download Video Musik Gratis

⬇ DOWNLOAD NOW
Kalau muncul iklan pop-up, tutup lalu klik tombol kembali

Download lagu Ovate Pontics for Bridges - The Complete Guide with Dr Jason Smithson - PDP158 secara gratis hanya untuk keperluan promosi. Dukung artis favorit kamu dengan membeli musik original di iTunes atau platform resmi lainnya.