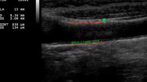
Fully automated segmentation, tracking of IMT in ultrasound video sequence of common carotid artery

Tonton & Download Video Musik Gratis

⬇ DOWNLOAD NOW
Kalau muncul iklan pop-up, tutup lalu klik tombol kembali

Download lagu Fully automated segmentation, tracking of IMT in ultrasound video sequence of common carotid artery secara gratis hanya untuk keperluan promosi. Dukung artis favorit kamu dengan membeli musik original di iTunes atau platform resmi lainnya.