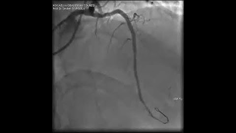
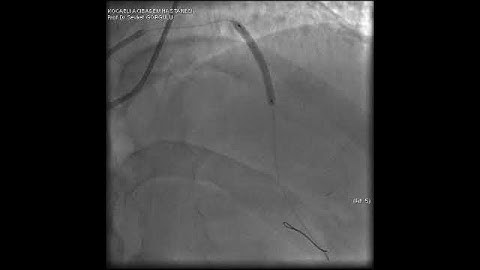
Microcatheter Tip Fracture During LAD CTO PCI: A Complication Video 3

Tonton & Download Video Musik Gratis

⬇ DOWNLOAD NOW
Kalau muncul iklan pop-up, tutup lalu klik tombol kembali

Download lagu Microcatheter Tip Fracture During LAD CTO PCI: A Complication Video 3 secara gratis hanya untuk keperluan promosi. Dukung artis favorit kamu dengan membeli musik original di iTunes atau platform resmi lainnya.