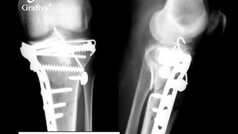
Tibia, Plateau - Bicondylar Fracture C3 - LCP 4.5/5.0 Proximal Tibia Plate & Bone Substitute

Tonton & Download Video Musik Gratis

⬇ DOWNLOAD NOW
Kalau muncul iklan pop-up, tutup lalu klik tombol kembali

Download lagu Tibia, Plateau - Bicondylar Fracture C3 - LCP 4.5/5.0 Proximal Tibia Plate & Bone Substitute secara gratis hanya untuk keperluan promosi. Dukung artis favorit kamu dengan membeli musik original di iTunes atau platform resmi lainnya.