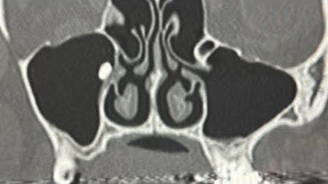
HOW to RETRIEVE a ROOT IN THE MAXILLARY SINUS! DISPLACED ROOT RETRIEVAL TUTORIAL

Tonton & Download Video Musik Gratis

⬇ DOWNLOAD NOW
Kalau muncul iklan pop-up, tutup lalu klik tombol kembali

Download lagu HOW to RETRIEVE a ROOT IN THE MAXILLARY SINUS! DISPLACED ROOT RETRIEVAL TUTORIAL secara gratis hanya untuk keperluan promosi. Dukung artis favorit kamu dengan membeli musik original di iTunes atau platform resmi lainnya.