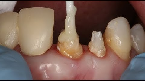
Fixing a broken front tooth with a post, core buildup and crown (after a root canal..)

Tonton & Download Video Musik Gratis

⬇ DOWNLOAD NOW
Kalau muncul iklan pop-up, tutup lalu klik tombol kembali

Download lagu Fixing a broken front tooth with a post, core buildup and crown (after a root canal..) secara gratis hanya untuk keperluan promosi. Dukung artis favorit kamu dengan membeli musik original di iTunes atau platform resmi lainnya.