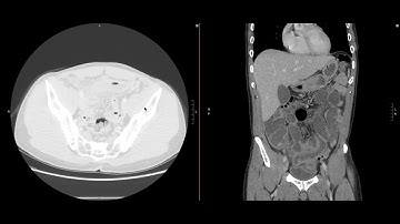
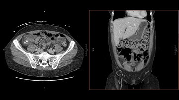
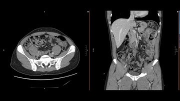
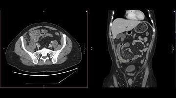
Abdominal Imaging Call Prep Cases: Acute Uncomplicated Appendicitis (CT) Case 3 Discussion

Tonton & Download Video Musik Gratis

⬇ DOWNLOAD NOW
Kalau muncul iklan pop-up, tutup lalu klik tombol kembali

Download lagu Abdominal Imaging Call Prep Cases: Acute Uncomplicated Appendicitis (CT) Case 3 Discussion secara gratis hanya untuk keperluan promosi. Dukung artis favorit kamu dengan membeli musik original di iTunes atau platform resmi lainnya.