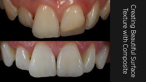
Restoring Central Incisors with Composite with Brian LeSage, DDS, FAACD

Tonton & Download Video Musik Gratis

⬇ DOWNLOAD NOW
Kalau muncul iklan pop-up, tutup lalu klik tombol kembali

Download lagu Restoring Central Incisors with Composite with Brian LeSage, DDS, FAACD secara gratis hanya untuk keperluan promosi. Dukung artis favorit kamu dengan membeli musik original di iTunes atau platform resmi lainnya.