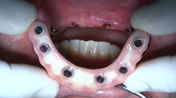
LOCATOR FIXED: fixed, full-arch solutions using the LOCATOR attachment system

Tonton & Download Video Musik Gratis

⬇ DOWNLOAD NOW
Kalau muncul iklan pop-up, tutup lalu klik tombol kembali

Download lagu LOCATOR FIXED: fixed, full-arch solutions using the LOCATOR attachment system secara gratis hanya untuk keperluan promosi. Dukung artis favorit kamu dengan membeli musik original di iTunes atau platform resmi lainnya.