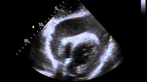
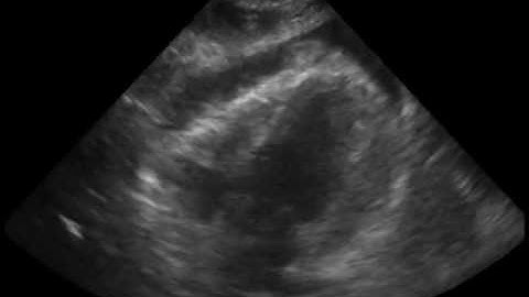
Subxiphoid View Pericardial Fatpad (Pericardial Effusion Mimic)

Tonton & Download Video Musik Gratis

⬇ DOWNLOAD NOW
Kalau muncul iklan pop-up, tutup lalu klik tombol kembali

Download lagu Subxiphoid View Pericardial Fatpad (Pericardial Effusion Mimic) secara gratis hanya untuk keperluan promosi. Dukung artis favorit kamu dengan membeli musik original di iTunes atau platform resmi lainnya.