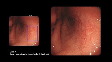
A deep neural network improves endoscopic detection of early gastric cancer without blind spots

Tonton & Download Video Musik Gratis

⬇ DOWNLOAD NOW
Kalau muncul iklan pop-up, tutup lalu klik tombol kembali

Download lagu A deep neural network improves endoscopic detection of early gastric cancer without blind spots secara gratis hanya untuk keperluan promosi. Dukung artis favorit kamu dengan membeli musik original di iTunes atau platform resmi lainnya.