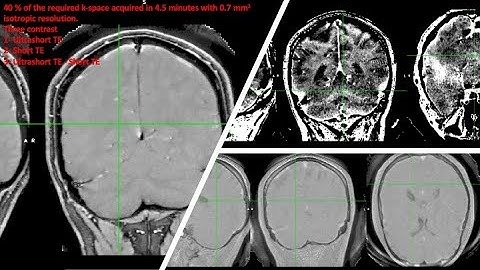
Myelin Imaging Using 3D Dual-echo Ultra-short Echo Time MRI with Rosette k-Space Pattern

Tonton & Download Video Musik Gratis

⬇ DOWNLOAD NOW
Kalau muncul iklan pop-up, tutup lalu klik tombol kembali

Download lagu Myelin Imaging Using 3D Dual-echo Ultra-short Echo Time MRI with Rosette k-Space Pattern secara gratis hanya untuk keperluan promosi. Dukung artis favorit kamu dengan membeli musik original di iTunes atau platform resmi lainnya.